Skip to main content

Tin tức - Sự kiện

Nhân một trường hợp phụ nữ có thai 12 tuần bị tắc động mạch phổi có sốc được điều trị thành công bằng thuốc tiêu sợi huyết alteplase

TÓM TẮT  Tắc động mạch phổi cấp có tỷ lệ tử vong cao nếu không được chẩn đoán và điều trị kịp thời. Phụ nữ có thai là một trong những yếu tố nguy cơ gây TĐMP cấp. Lựa chọn phương pháp để chẩn đoán và điều trị một cách...

Xem chi tiết

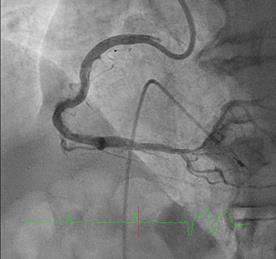
Can thiệp động mạch vành qua da

Một số từ chuyên ngành nên biết Catheter      Một loại ống thông nhỏ làm bằng chất liệu nhựa dẻo đặc biệt, thường sử dụng trong can thiệp động mạch vành qua da. Stent           Giá đỡ bằng kim loại đặc biệt, giúp lòng mạch giảm khả năng tái hẹp; có 2...

Xem chi tiết

Nhận thông tin cập nhật

Đăng ký để nhận bản tin hàng tháng về các công nghệ men mới, báo giá nguyên
liệu và các sự kiện tại Bát Tràng.

Lỗi: Không tìm thấy biểu mẫu liên hệ.