TÓM TẮT
Kẹt mũi khoan trong can thiệp tim mạch có sư sử dụng hệ thống khoan cắt mảng vữa xơ là một biến chứng hiếm gặp nhưng rất nguy hiểm vì gây thiếu máu cơ tim. Mục tiêu là dùng các kĩ thuật can thiệp để thu hồi mũi khoan nhưng nếu không thành công thì phẫu thuật là giải pháp cuối cùng. Chúng tôi báo cáo trường hợp bệnh nhân với cơn đau thắt ngực ổn định được can thiệp động mạch vành có sử dụng hệ thống khoan cắt mảng vữa xơ với mũi khoan 1.5mm. Tuy nhiên do mũi khoan không phá được cấu trúc mảng vôi nên chúng tôi đổi sang mũi khoan 2.15mm và dẫn đến kẹt tại vị trí mảng vữa xơ. Kĩ thuật dùng dây dẫn và bóng để nong tại vị trí mũi khoan không thành công nhưng mũi khoan đã được thu hồi thành công với kĩ thuật cắt đường dẫn của khoan và ống thông 5Fr Heartrail tránh được ca phẫu thuật cho bệnh nhân.
Từ khóa: hệ thống khoan cắt, mảng vữa xơ, kẹt mũi khoan.
GIỚI THIỆU
Khoan cắt mảng vữa xơ (rotational atherectomy) được ứng dụng rộng rãi trong Tim mạch can thiệp đặc biệt dành cho những tổn thương bị vôi hóa nặng. Với những tổn thương bị vôi hóa nặng nếu không được phá vỡ được cấu trúc sẽ là nguy cơ giá đỡ (stent) không áp thành tốt và tạo huyết khối sau khi đặt stent.[2] Tuy nhiên khoan cắt mảng vữa xơ trong can thiệp động mạch vành ngoài lợi ích cũng có rất nhiều nguy cơ. Nguy cơ thường gặp nhất là vỡ động mạch, bóc tách động mạch, đứt dây dẫn, loạn nhịp chậm và hiếm gặp hơn là kẹt mũi khoan trong lòng động mạch.[6] Kẹt mũi khoan tuy hiếm gặp nhưng là một biến chứng rất nguy hiểm vì gây thiếu máu cơ tim và nguy cơ phải phẫu thuật cấp cứu để lấy mũi khoan. Trong bài báo này chúng tôi xin giới thiệu một ca lâm sàng hiếm gặp do kẹt mũi khoan và cách xử trí tình huống lâm sàng.
CA LÂM SÀNG
Bệnh nhân nam, 75 tuổi nhập viện tại Trung tâm tim mạch quốc gia Singapore do đau ngực không ổn định. Bệnh nhân có các yếu tố nguy cơ tim mạch như tăng huyết áp, hút thuốc, ngưng thở về đêm. Không có tổn thương thận (creatine =53umol/l). Siêu âm tim qua thành ngực không thấy rối loạn vận động vùng, chức năng thất trái tốt (EF =79%). Kết quả chụp mạch vành cho thấy động mạch liên thất trước hẹp 80%, nhánh chéo (diagonal) 1 hẹp 70%, động mạch vành phải đoạn giữa hẹp 90%, mảng vữa xơ vôi hóa mức độ nặng. Chiến lược sẽ can thiệp động mạch liên thất trước sau đó sẽ can thiệp động mạch vành phải.
QUA TRÌNH CAN THIỆP VÀ XỬ TRÍ
Can thiệp ngã ba động mạch liên thất trước và nhánh chéo 1 với hai stent có bọc thuốc bằng kĩ thuật cullote. Tiếp tục can thiệp động mạch vành phải với ống thông can thiệp (guiding catheter) (Cordis JR4 cm 6Fr) và dây dẫn (Asahi Sion 0.014”). Nong tổn thương bằng bóng 3.5 x 15mm (Neich Sapphire), bóng 4.0 x 12 (NC Quantum Apex), bóng cắt 3.5 x 15 (Cutting balloon, Angiosculpt) không làm vỡ được mảng vữa xơ. Quyết định dùng hệ thống khoan cắt mảng vữa xơ với dây dẫn mềm (Boston Scientific Rotablator Rotalink Plus) và mũi khoan (burr) 1.5mm. Tuy nhiên vì kích thước động mạch quá lớn nên mũi khoan đi qua tổn thương mà không chạm vào mảng vữa xơ được. Chuyển sang mũi khoan có đường kính lớn hơn 2.15mm với tốc độ khoan 150000 vòng /phút. Khi mũi khoa đi qua được 1/3 tổn thương thì không thể di chuyển được tiếp. Nhận định tại thời điểm đó là mũi khoan bị kẹt trong tổn thương tại đoạn giữa của động mạch vành phải. Ngay lập tức các bác sỹ có kinh nghiệm can thiệp trong bệnh viện được mời đến phòng can thiệp đồng thời thông báo cho các phẫu thuật viên tim mạch chuẩn bị trong trường hợp cần thiết. Bệnh nhân có biểu hiện đau tức ngực trái, tuy nhiên mạch và huyết áp tương đối ổn định, điện tim không thay đổi. Dòng chảy trong động mạch vành còn duy trì nhưng chậm TIMI 2. Sau khi hội ý, hướng xử trí đầu tiên là dùng dây dẫn cứng Conquest Pro (Asahi) để đi qua tổn thương nhưng không thành công. Sau đó chúng tôi quyết định cắt đoạn đầu của hệ thống nối mũi khoan, đưa ống thông heartrail (Terumo) sát vào mũi khoan nhằm thay đổi tư thế và cố định mũi khoan vào dây dẫn để đưa ra ngoài. Cuối cùng mũi khoan được đưa ra ngoài thành công. Tổn thương tiếp tục được nong bằng bóng cắt và bóng áp lực cao và đặt được giá đỡ kim loại (stent) bọc thuốc 4.0 x 26mm. Kết quả là động mạch vành được mở rộng hoàn toàn, bệnh nhân không còn đau ngực, huyết động ổn định.
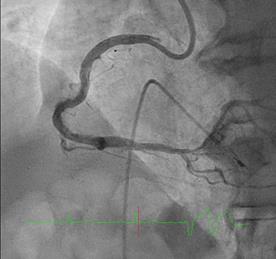
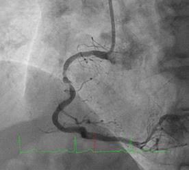
A![]() |
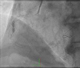
B![]() |
C![]() |
D![]() |
Hình 1: A- hình ảnh động mạch vành trước can thiệp; B – dùng bóng cắt (cutting balloon) không phá vỡ được cấu trúc mảng vữa xơ; C – mũi khoan 1.5 không chạm vào được mảng vữa xơ vôi hóa; D – mũi khoan 2.15 bị tắc tại vị trí hẹp.
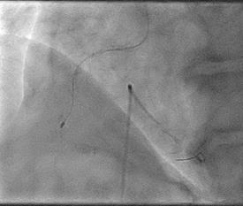
![]() |
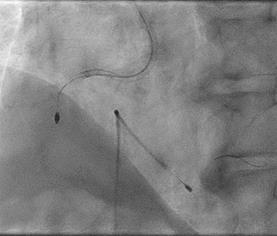
![]() |
C
|
D
|
Hình 2: A- đường dẫn của mũi khoan được cắt bằng kéo; B – đưa ống thông Heartrail vào sát mũi khoan; C – toàn bộ hệ thống được đồng thời đưa ra ngoài; D – hình ảnh sau đặt stent.
BÀN LUẬN
Kẹt mũi khoan là một biến chứng hiếm gặp nhưng rất nguy hiểm, đặt biệt là khi sử dụng mũi khoan có kích thước lớn. Yokoi và cộng sự [6] nghiên cứu thấy có 6 trường hợp (chiếm 0,4%) kẹt mũi khoan trong động mạch vành trong tổng số 1212 ca có dùng hệ thống khoan cắt. Y văn hiện nay phân chia thành hai tình huống khiến mũi khoan bị kẹt.[3] Tình huống đầu tiên là mũi khoan bị kẹt tại chỗ hẹp, nơi tổn thương vôi hóa mức độ nặng, tổn thương gập góc, co thắt động mạch vành hoặc đẩy mũi khoan trong khi tốc độ quay thấp. Tình huống thứ hai là mũi khoan bị kẹt do mảng vữa xơ ở phía trước đích cần khoan. Nguyên nhân do mũi khoan có cấu trúc hình quả ôliu và được chia thành hai phần.[2] Phần phía xa được bao bọc bởi các tinh thể kim cương và phần gần là kim loại trơn. Chỉ phần xa có thể khoan phá được cấu trúc mảng vữa xơ còn phần gần không tác động đến mảng vữa xơ khi kéo mũi khoan về gặp mảng vữa xơ sẽ dẫn đến kẹt mũi khoan. Phân chia thành hai nhóm như vậy sẽ giúp dễ đánh giá và xử lý tình huống hơn. Một số yếu tố khác có thể làm tăng nguy cơ kẹt hơn như tổn thương vôi hóa dài, tổn thương do tái hẹp stent và tỉ lệ kích thước giữa mũi khoan và động mạch vành tương đương. Trong trường hợp cụ thể của chúng tôi, nguyên nhân kẹt có thể là do tỉ lệ giữa kích thước mũi khoan và động mạch vành khá gần nhau (2.15/3.5).
Có một vài báo cáo các ca lâm sàng về kẹt mũi khoan trong lòng động mạch vành đã được xử trí thành công. Sulimov và cộng sự [1] thống kê trên y văn hiện nay có 11 bài báo về 14 trường hợp lâm sàng có kẹt mũi khoan. Bảy trường hợp trong số đó phải phẫu thuật để lấy mũi khoan đồng thời bắc cầu nối chủ vành. Những trường hợp còn lại có thể lấy được mũi khoan bằng can thiệp. Kĩ thuật lấy mũi khoan qua đường can thiệp được chia thành hai nhóm, đó là sử dụng dây dẫn (thường là dây dẫn cứng dùng trong can thiệp tắc mạn tính (CTO) và/hoặc dây dẫn có đầu nhọn), sau đó đưa bóng kích thước nhỏ nong tại vị trí kẹt để tạo không gian rộng hơn để đưa mũi khoan ra ngoài.[4] Kĩ thuật thứ hai được mô tả là dùng ống thông đầu thẳng, mềm và áp dụng kĩ thuật “mẹ và con” (mother and child) để đưa mũi khoan ra ngoài.[5] Trong trường hợp lâm sàng này chúng tôi đã áp dụng cả hai kĩ thuật trên nhưng chỉ một kĩ thuật thứ hai mang lại kết quả.
Trong trường hợp của chúng tôi kinh nghiệm rút ra có thể là không nên dung mũi khoan kích thước quá lớn, tăng kích thước mũi khoan quá nhanh từ 1.5mm lên 2.15mm, đồng thời tốc độ vòng quay không nên để quá chậm, tốt nhất là khoảng 180000 đến 200000 vòng/phút. Quan trọng hơn nữa là trong tình huống hiếm gặp như trên, việc tham khảo ý kiến của nhiều bác sỹ can thiệp khác khau để có được giải pháp tốt nhất. Phẫu thuật là giải pháp cuối cùng trong những tình huống như vậy.
Summary: Rotational burr entrapment in interventional cardiology is a rare complication but can be dangerous because it causes myocardial ischemia and it might be difficult to retrieve. The aim is to use interventional techniques and devices to retrieve but if unsuccessful then surgery is the last choice. We report a case of a patient with stable angina and underwent coronary stenting. We planned to use small burr to crack calcified lesion but unsuccessful then changed to the biggest burr 2.15mm. However, burr was trapped at a narrow site. The first retrieval technique with stiff wire and small balloon failed then we cut rotablator drive shaft and sheath and successfully retrieved burr using “child and mother” with Heartrail catheter 5Fr.
Key words: rotational atherectomy, burr, complication.





