Tóm tắt
Co thắt mạch vành được định nghĩa là tình trạng tắc hoàn toàn hoặc gần hoàn toàn thoáng qua của động mạch vành. Gần đây cơ chế của hiện tượng này được cho có liên quan đến rối loạn chức năng lớp nội mạc mạch máu. Tuy hiếm gặp nhưng co thắt động mạch vành là một trong những nguyên nhân quan trọng có thể gây ra hội chứng động mạch vành cấp, rối loạn nhịp và đưa đến tử vong.
Chúng tôi báo cáo hai trường hợp nhồi máu cơ tim cấp do co thắt mạch vành có biến chứng loạn nhịp thất nặng và choáng tim đã được điều trị thành công.
Abtract
Coronary artery vasospasm or smooth muscle constriction of the coronary artery is defined as a transient total or near-total occlusion of a vessel, occurring in either a normal or diseased arterial segment, which is reversible with nitroglycerin. The pathophysiological mechanism of vasospastic angina is thought to centre around a dysfunctional vascular endothelium. Spasm usually develops at the site of subcritical or critical stenosis, but it may also occur in angiographically normal arteries, particularly in Asian patients. Coronary artery vasospasm, is an important cause of chest pain syndromes that can lead to myocardial infarction (MI), ventricular arrhythmias, and sudden death.
We report two cases of coronary artery spasm during an acute myocardial infarction with cardiogenic shock, complete atrioventricular block and one episode syncope. They were referred to our hospital for work-up.
Giới thiệu
Co thắt động mạch vành là sự gia tăng tạm thời trương lực của thành động mạch vành ở lớp thượng tâm mạc, làm giảm đáng kể nhưng thoáng qua đường kính lòng mạch và hồi phục sau khi bơm Nitroglycerin trong quá trình chụp động mạch vành. Bệnh thường có liên quan đến hút thuốc lá, cần sa, hít butan (một chất dùng làm xúc tác của bật lữa), Pseudoephedrine, ngưng thuốc chẹn Canxi… Ngoài ra, tổn thương xơ vữa mạch vành ở giai đoạn sớm cũng có thể làm cho động mạch vành trở nên dễ co thắt. Đối với can thiệp mạch vành qua da, một số báo cáo cho thấy co thắt mạch vành chiếm tỷ lệ từ 1- 5%. Trong thực hành lâm sàng, co thắt mạch vành hay được biết đến như là nguyên nhân thường gặp của đau thắt ngực biến đổi (variant angina). Thuật ngữ này được Prinzmetal đề cập đến lần đầu tiên vào năm 1959 để mô tả một thể đau thắt ngực có đặc điểm: không liên quan gắng sức, xảy ra vào sáng sớm và đoạn ST thường chênh lên trên điện tâm đồ. Vì thiếu máu cơ tim xảy ra mà không có bất kỳ sự thay đổi nào trong cung cầu Oxy cơ tim, nên tác giả đã đưa ra giả thiết do sự tăng trương lực mạch máu tại những vị trí mạch vành bị hẹp.
Thực tế vài năm sau đó chụp động mạch vành đã chứng minh co thắt mạch vành là nguyên nhân thường gặp của đau thắt ngực biến đổi. Chụp mạch vành cũng cho thấy co thắt có thể xảy ra tại những vị trí có tổn thương hoặc bình thường, khu trú tại một đoạn của động mạch vành. Tuy nhiên, đôi khi co thắt có thể xảy ra ở hai hoặc nhiều đoạn của cùng một động mạch vành hay nhiều động mạch vành khác nhau. Thiếu máu cơ tim xuyên thành do co thắt gây tắc hoàn toàn động mạch vành có thể đưa đến các rối loạn nhịp thất ác tính làm đột tử, hoặc co thắt kéo dài gây ra nhồi máu cơ tim. Đã có một số báo cáo về đau thắt ngực, loạn nhịp và nhồi máu cơ tim do co thắt động mạch vành.
Chúng tôi báo cáo hai trường hợp nhồi máu cơ tim có rối loạn dẫn truyền nhĩ thất nặng và choáng tim do co thắt mạch vành đã được điều trị thành công.
Trường hợp lâm sàng
Bệnh nhân 1:
Hồ Khắc T, 61 tuổi, hưu trí với tiền sử phát hiện THA 2 năm điều trị không liên tục, hút thuốc lá trên 20 gói/năm, không có tiền sử dị ứng. Đêm hôm trước nhập viện, bệnh nhân có biểu hiện mệt, nhức mõi tay chân và ngạt mũi, bệnh nhân tự mua và uống thuốc điều trị cảm cúm không rõ loại. Sáng hôm sau cách nhập viện khoảng 1 giờ, bệnh nhân đang đi đột ngột tức ngực, khó thở, nghẹn cổ, cảm giác choáng váng và ngất. Bệnh nhân được người đi đường đưa vào viện trong tình trạng lơ mơ, đại tiểu tiện không tự chủ, khám trên da không thấy nổi ban, mạch và huyết áp không đo được. Điện tâm đồ (hình 1) cho thấy nhịp tim 50 l/ph, ST chênh lên ở DII – III và aVF, ngoại tâm thu thất, sau đó xuất hiện block A-V độ 3. Xét nghiệm men tim về sau cho thấy CK = 1583 U/L, CK-MB = 292 U/L, TNT-HS = 1469 pg/mL.
Hình 1: ECG lúc nhập khoa Cấp cứu (Kích chuột vào hình để xem hình lớn hơn)

Tại cấp cứu bệnh nhân được chẩn đoán nhồi máu cơ tim cấp vùng hoành giờ thứ 2, block A-V độ 3, có chỉ định chụp mạch vành cấp cứu. Kết quả chụp mạch vành cho thấy hẹp nặng lan tỏa nhiều đoạn ở cả động mạch vành trái (hình 2a) và động mạch vành phải (hình 2b).
Hình 2a: Dấu mũi tên trắng cho thấy nhiều chổ hẹp ở nhánh LCX, OM và LAD


Hình 2b: Hệ mạch vành ưu thế phải, hẹp lan tỏa RCA

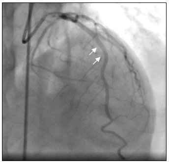
Tại phòng thông tim huyết áp bệnh nhân thấp 80/60mmHg nên chúng tôi không dùng Nitroglycerin. Sau khi chụp thấy hẹp nặng lan tỏa ở cả ba nhánh của động mạch vành, không loại trừ do co thắt nên chúng tôi đã tiến hành bơm 500µg Nitroglycerin vào động mạch vành. Kết quả chụp lại hiện tượng trên hoàn toàn biến mất, động mạch vành phải và trái thâm nhiễm nhẹ nhưng đều có kích thước lớn hơn nhiều so với ban đầu, dòng chảy TIMI 3 (hình 3a-3b), đồng thời huyết áp của bệnh nhân cũng cải thiện rõ 120/80 mmHg.
Hình 3a: Nhánh LCX, OM và LAD sau khi bơm Nitroglycerin


Hình 3b: Nhánh RCA sau khi bơm Nitroglycerin.
Sau một tuần siêu âm tim cho thấy hở van 2 lá 1/4, các buồng tim không dãn, giảm động nhẹ thành sau vùng giữa và đáy, chức năng tâm thu thất trái trong giới hạn bình thường EF = 56%. Điện tâm đồ nhịp xoang (hình 4). Bệnh nhân hồi phục và xuất viện sau mười ngày điều trị. Theo dõi sau bốn tháng sức khỏe bệnh nhân ổn định với các thuốc chẹn Canxi, Nitrate và Statin.
Hình 4: ECG sau 1 tuần điều trị.(Kích chuột vào hình để xem hình lớn hơn)

Bệnh nhân 2:
Ngô Văn Đ, 63 tuổi, làm nông với tiền sử thuốc lá hơn 30 gói/năm, không có tiền sử bệnh tim mạch, thường xuyên dùng rượu bia. Sáng cùng ngày nhập viện, bệnh nhân đang đi bộ tập thể dục đột ngột nóng ran ngực, mệt lã và ngã bất tỉnh. Bệnh nhân nhập viện trong tình trạng lơ mơ, vã mồ hôi, tay chân lạnh, không đo được mạch và huyết áp. Điện tâm đồ (hình 5) cho thấy nhịp tim rất chậm 28 l/ph, Block A-V độ 3, ST chênh lên ở DII – III và aVF. Xét nghiệm men tim sau đó Troponin – T HS = 2833 pg/mL.
Hình 5: ECG lúc nhập khoa Cấp cứu

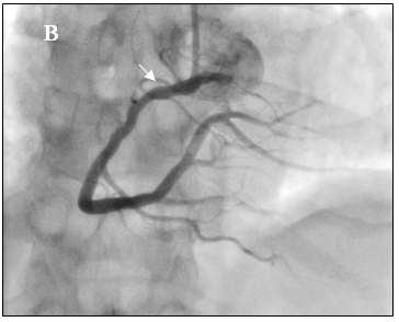
Bệnh nhân được chẩn đoán nhồi máu cơ tim cấp vùng hoành giờ thứ 2, Block A-V độ 3, có chỉ định chụp mạch vành cấp cứu. Bệnh nhân được kích nhịp bằng Atropin, Dopamin và truyền dịch chống choáng trên đường chuyển đến phòng thông tim. Kết quả chụp mạch vành cho thấy hẹp 90% ở đoạn xa RCAI (hình 6a), tuy nhiên khi chuyển sang góc chụp kế tiếp chúng tôi phát hiện thêm một chổ hẹp thứ hai rất nặng ở đoạn gần RCAI tại vị trí sát ngay đầu ống thông can thiệp (hình 6b). Nghi ngờ tổn thương do co thắt nên chúng tôi bơm 200µg Nitroglycerin vào RCA và chụp lại sau 2 phút. Kết quả chổ hẹp nặng ngay sát đầu ống thông can thiệp đã hoàn toàn biến mất (hình 7b), chổ hẹp đầu tiên ở đoạn xa RCAI chỉ còn 30% (hình 7a). Như vậy, nhồi máu cơ tim vùng hoành là do co thắt RCA tại vị trí mãng xơ vữa.
Hình 6: Tổn thương hẹp nặng RCAI nghi do co thắt mạch vành


Hình 7: (A) Hẹp 30% đoạn xa RCAI

(B) Không còn chỗ hẹp gần đầu Guiding

Siêu âm tim không thấy vùng giảm động, chức năng co bóp thất trái tốt, EF = 62%, điện tâm đồ nhịp xoang đều 75 l/ph, sẹo nhồi máu vùng hoành (hình 8). Bệnh nhân hồi phục và xuất viện sau một tuần điều trị. Bệnh nhân tiếp tục dùng chẹn Canxi, Nitrate và Statin, đi bộ tập thể dục buổi sáng và bỏ hút thuốc lá cũng như hạn chế bia rượu. Theo dõi sau 3 tháng sức khỏe bệnh nhân tiến triển tốt.
Hình 8: ECG sau 5 ngày cho thấy nhịp xoang, sẹo nhồi máu vùng hoành

Bàn luận
Biểu hiện lâm sàng thường gặp của co thắt mạch vành là đau thắt ngực biến đổi (Prinzmetal), nhồi máu cơ tim, rối loạn nhịp và đột tử. Co thắt mạch vành hay gặp trong hội chứng mạch vành cấp (20-38%) hơn đau thắt ngực ổn định (
Triệu chứng nặng ngực, thường không do gắng sức đi kèm với sự chênh lên thoáng qua của đoạn ST trên điện tâm đồ là những dấu hiệu quan trọng để chẩn đoán co thắt mạch vành. Các thể im lặng của co thắt mạch vành thường phát hiện trong thời gian nằm viện hoặc trong quá trình theo dõi Holter điện tâm đồ. Trắc nghiệm gắng sức cũng có thể hữu ích, mặc dù số bệnh nhân có ST chênh xuống, ST chênh lên, hoặc không có thay đổi gì trên điện tâm đồ khi làm gắng sức gần như nhau[9]. Các thử nghiệm bằng thuốc như truyền tĩnh mạch Acetylcholine, Ergonovine để khởi phát co thắt mạch vành chỉ nên tiến hành dưới sự theo dõi chặc chẽ và trong những điều kiện nhất định nhằm tránh biến chứng (Bảng 1).
| Bảng 1: Các bước chẩn đoán co thắt mạch vành |
| Điện tâm đồ Holter điện tim 24 giờ
Trắc nghiệm gắng sức
Chụp động mạch vành
|
Cơ chế thường gặp gây co thắt mạch máu tự phát là sự suy giảm trương lực phó giao cảm, sự thay đổi hoạt động giao cảm cũng có thể có vai trò trong co thắt mạch vành. Rối loạn chức năng lớp nội mạc thể hiện qua những bất thường trong tổng hợp Nitric oxide (NO) và sự suy giảm sinh khả dụng của chất này, sự co quá mức của cơ trơn mạch máu là những yếu tố quan trọng dẫn đến co thắt mạch vành. Tuy nhiên, Egashira và cộng sự đã chứng minh nồng độ NO không giảm tại những vị trí động mạch vành bị co thắt, tác giả đã đưa ra cơ chế bổ sung là sự gia tăng hoạt động của men phospholipase C đã làm tăng tính nhạy cảm của các tế bào cơ trơn ở những bệnh nhân đau thắt ngực biến đổi[4].
Yếu tố di truyền cũng có vai trò trong cơ chế bệnh sinh của co thắt mạch vành. Trong các nghiên cứu đoàn hệ về tỷ lệ đau thắt ngực biến đổi ở người da trắng cho thấy chỉ có khoảng 1-2%, trong khi đó tỷ lệ này phổ biến hơn ở khu vực Đông Á, đặc biệt là ở Hàn Quốc, Nhật Bản và Đài Loan, mặc dù cơ chế chưa được biết rõ. Co thắt mạch vành ở bệnh nhân người Nhật thường lan tỏa trong khi đó tỷ lệ bệnh động mạch vành do xơ vữa lại thấp. Nhân cách loại A, rối loạn lo ấu, những dấu hiệu viêm nhẹ mạn tính như tăng số lượng bạch cầu trung tính và thậm chí sự tăng nhẹ nồng độ CRP (C – creactive protein) cũng cho thấy có mối liên hệ đáng kể với co thắt mạch vành[13 ].
Các yếu tố nguy cơ tim mạch thông thường dường như không cho thấy mối liên hệ có ý nghĩa với co thắt mạch vành, ngoại trừ hút thuốc lá. Trên thực tế, khoảng 75% bệnh nhân đau thắt ngực biến đổi có hút thuốc lá, tuy nhiên lý do tại sao hay gặp co thắt mạch vành ở người hút thuốc lá đến nay vẫn chưa rõ. Thuốc lá chứa nhiều chất độc hại đối với hệ thống mạch máu như Nicotin và Carbon monoxide, bên cạnh đó các chất gây viêm có thể làm thay đổi tính co thắt của các tế bào cơ trơn mạch máu. Uống nhiều rượu cũng có liên quan đến đau thắt ngực biến đổi, mặc dù các bằng chứng dịch tể học không đủ mạnh[6 ]. Takaoka nhận thấy các yếu tố nguy cơ kinh điển, ngoại trừ hút thuốc lá, có mối liên quan kém với co thắt mạch vành[16] (Bảng 2).
| Bảng 2: Đặc điểm động mạch vành có hiện tượng co thắt |
Trương lực vận mạch
Co cơ trơn
Hoạt động phó giao cảm
Hoạt động giao cảm
Rối loạn chức năng nội mạc
Hoạt tính men Phospholipase C
|
Sinh bệnh học của hội chứng mạch vành cấp và các biến chứng liên quan khi không có tắc nghẽn mạch máu do xơ vữa, có thể do co thắt mạch vành kéo dài. Trong cơn thiếu máu cục bộ do co thắt, thậm chí ngay cả khi không đau ngực cũng có thể xuất hiện rung thất, nhịp nhanh và block dẫn truyền nhĩ thất. Co thắt mạch vành đưa đến blốc nhĩ thất cao độ cũng chỉ giới hạn ở một vài báo cáo. Hầu hết những trường hợp này là do co thắt động mạch vành phải. Cơ chế là do sự gia tăng phản xạ trương lực phó giao cảm và giảm cung cấp máu cho động mạch nút nhĩ thất [6].
Việc sử dụng Cocaine, sản phẩm có chứa Ephedrine (co mạch ngoại vi, điều trị sung huyết mũi), chất kích thích, nhiều thuốc không kê đơn, hóa trị liệu, kháng sinh và chống đau đầu Migraine cũng đã được thông báo đưa đến đau thắt ngực biến đổi [5,7]. Theo Hiệp Hội Tim Mạch Hoa Kỳ (2008), đây là một trong những nguyên nhân quan trọng đưa đến nhồi máu cơ tim do co thắt mạch vành, có ý nghĩa quan trọng đối với điều trị và tiên lượng.
Co thắt mạch vành xảy ra trong quá trình chụp và can thiệp mạch vành qua da chiếm tỷ lệ 1-5%, tùy thuộc phương pháp tiếp cận, ống thông sử dụng và kỹ năng của người làm thủ thuật. Co thắt có thể xảy ra ngay cả khi chỉ cài ống thông hay đưa dây dẫn vào trong lòng mạch vành. Những cơ chế đã được công nhận để giải thích hiện tượng này là: kích thích cơ học, tăng tính nhạy cảm của tế bào cơ trơn đối với acetylcholin nội sinh, hoạt hóa thủ thể với sức căng, sự tập trung tiểu cầu tại vị trí đầu ống thông và giải phóng các chất gây co mạch, thuốc cản quang. Choáng tim do co thắt mạch vành nặng ngay sau đặt stent cũng thường gặp nhưng không phải luôn giải quyết được bằng cách bơm Nitroglycerin vào vị trí co thắt [8,19].
Trong điều trị co thắt mạch vành, chẹn Canxi được xem là phương pháp điều trị chính thức và việc sử dụng phổ biến loại thuốc này đã làm giảm tỷ lệ đau thắt ngực biến đổi. Nitrate tác dụng kéo dài cũng cho thấy có hiệu quả và hiệu quả dãn mạch của nó có thể hổ trợ tác dụng của các thuốc chẹn canxi. Đối với thuốc chẹn β, sự đáp ứng của bệnh nhân rất khác nhau. Chẹn β là thuốc hàng đầu trong điều trị bệnh tim thiếu máu cục bộ, đau thắt ngực hoặc hội chứng mạch vành cấp, nhưng chẹn β có thể làm trầm trọng thêm tình trạng co thắt mạch vành nếu không có chẹn canxi hoặc Nitrate[3]. Thiếu Magiê là một yếu tố có thể góp phần gây co thắt mạch vành, Terawaga và cộng sự cho rằng bổ sung lâu dài Magiê cũng có thể phòng ngừa co thắt mạch vành[17]. Điều trị giảm Cholesterol cải thiện chức năng lớp nội mạc, làm giảm đáp ứng co thắt của mạch vành đối với Acetylcoline, do đó nên bổ sung một statin (fluvastatin) trong điều trị chẹn canxi thường quy, mục đích nhằm ức chế các con đường chuyển hóa có liên quan đến men RhoA-kinase[18]. Trường hợp đau thắt ngực Prinzmetal nghiêm trọng, điều trị nội khoa không đáp ứng đã được phẩu thuật bắc cầu động mạch vành bằng động mạch vú trong thành công ở hai bệnh nhân, mặc dù chụp động mạch vành kết quả bình thường[12]. Can thiệp ở những bệnh nhân co thắt mạch mạch vành có biểu hiện đau ngực cho kết quả tương tự như ở nhóm co thắt mạch vành nhưng không có đau ngực[14]. Rối loạn nhịp thất đe dọa tính mạng có chỉ định cấy máy phá rung tự động[1,8] (Bảng 3).
| Bảng 3: Các phương pháp điều trị co thắt mạch vành |
Ngừng thuốc lá
Thuốc chẹn Canxi
Nitrate tác dụng kéo dài
Bổ sung Magiê
Thuốc Statin
Can thiệp mạch vành
có thể thành công
thảo luận |
Tiên lượng của bệnh nhân co thắt mạch vành đã được điều trị là khá tốt, đặc biệt ở những trường hợp dung nạp với thuốc chẹn canxi và ngưng hút thuốc lá. Bệnh nhân thường có từng đợt 3-6 tháng đau ngực trở lại xen kẽ với khoảng thời gian không triệu chứng và giảm dần về lâu dài. Ngược lại, sự hiện diện của bệnh xơ vữa động mạch, hút thuốc lá liên tục, không dung nạp với thuốc chẹn canxi và co thắt nhiều nhánh mạch vành là những dấu hiệu dự báo xấu. Hiệp hội co thắt mạch vành Nhật Bản (JCSA) đã đưa ra “thang điểm nguy cơ JCSA” gồm 7 yếu tố dự báo các biến cố tim mạch quan trọng (MACE) để hướng dẫn tiên lượng cho các bệnh nhân co thắt mạch vành[15] (Bảng 4). Theo nghiên cứu CASPAR, bệnh nhân bị hội chứng mạch vành cấp có bằng chứng của co thắt mạch vành và không có tổn thương thủ phạm tiên lượng tốt hơn bệnh nhân bị hội chứng mạch vành cấp có tắc nghẽn[10].
| Bảng 4: Thang điểm nguy cơ JCSA | |||
| Yếu tố tiên lượng |
Điểm |
Nguy cơ |
MACE |
| Tiền sử ngưng tim ngoại viện |
4 |
Thấp |
2.5% |
| Hút thuốc lá |
2 |
||
| Chỉ có đau ngực lúc nghĩ |
2 |
Trung bình |
7% |
| Hẹp mạch vành thực thể |
2 |
||
| Co thắt nhiều nhánh mạch vành |
2 |
||
| Dùng thuốc chẹn β |
1 |
Cao |
13% |
| ST chênh lên trong cơn đau |
1 |
||
Kết luận
Co thắt mạch vành có thể gây ra các biến chứng nghiêm trọng. Nhiều cơ chế giải thích khác nhau nhưng đều liên quan đến phản ứng co quá mức của tế bào cơ trơn thành mạch.
Hai trường hợp nhồi máu cơ tim của chúng tôi minh họa cho sự giống nhau giữa co thắt nhiều nhánh mạch vành và xơ vữa động mạch lan tỏa. Sự phối hợp của nhiều yếu tố như hút thuốc lá, xơ vữa động mạch vành, dùng thuốc có chứa Pseudoephedrine, ống thông can thiệp có thể đã làm cho tình trạng bệnh nhân của chúng tôi diễn ra khá nặng.
Do đó, nhận biết sớm hội chứng mạch vành cấp do co thắt động mạch vành, sử dụng Nitroglycerin hoặc chẹn Canxi có vai trò quan trọng, nhằm tránh can thiệp mạch vành không cần thiết cũng như có hướng điều trị thích hợp về lâu dài.