|
MỞ ĐẦU
Tăng huyết áp đã trở thành một trong những vấn đề sức khỏe hàng đầu đối với từng người dân và toàn thể cộng đồng ở tất cả các quốc gia trên toàn thế giới. Cho đến nay, mối liên quan giữa tăng huyết áp với sự gia tăng các biến cố tim mạch cũng như hiệu quả tích cực của điều trị hạ huyết áp đối với sức khỏe người bệnh là không còn bàn cãi. Tuy nhiên, cho dù đã được điều trị phối hợp các loại thuốc hạ huyết áp khác nhau, nhiều bệnh nhân vẫn không thể kiểm soát tối ưu được huyết áp. Thêm vào đó, tác dụng phụ của các thuốc hạ huyết áp, đặc biệt khi phải dùng phối hợp nhiều thuốc và liều điều trị cao đã ảnh hưởng không nhỏ tới việc tuân thủ điều trị của người bệnh. Trên phương diện cộng đồng, ngay cả ở những nước phát triển, tỉ lệ kiểm soát tốt huyết áp ở các bệnh nhân tăng huyết áp vẫn còn rất khiêm tốn [1].
Theo các khuyến cáo hiện nay, tăng huyết áp kháng trị là khi tăng huyết áp không thể kiểm soát được cho dù đã sử dụng trên 3 loại thuốc hạ huyết áp khác nhau với liều tối ưu, trong đó có một thuốc lợi tiểu [1]. Nếu theo định nghĩa như ở trên, thì thống kê quốc gia về dinh dưỡng và sức khỏe tại Hoa Kỳ trong giai đoạn 2003-2008 đã cho thấy: 12,8% số người tăng huyết áp ở Mỹ đủ tiêu chuẩn để chẩn đoán là tăng huyết áp kháng trị [2]. Cho dù tại một số cộng đồng, số phần trăm bệnh nhân được coi là kháng trị trong số những người THA là không nhiều nhưng do tỉ lệ hiện mắc bệnh trong quần thể chung cao nên con số tuyệt đối các bệnh nhân THA kháng trị trên thực tế là không hề nhỏ và đã trở thành vấn đề nan giải trong thực hành lâm sàng.
Vai trò quan trọng của hệ thần kinh giao cảm trong cơ chế bệnh sinh tăng huyết áp đã được nghiên cứu bằng việc đo hoạt tính hệ giao cảm trên các bệnh nhân tăng huyết áp cũng như đánh giá sự thay đổi huyết áp sau các can thiệp điều chỉnh hệ thần kinh giao cảm. Các nghiên cứu cũng đã cho thấy, có sự gia tăng rõ rệt hoạt tính thần kinh giao cảm ở tim, thận và cơ vân ở bệnh nhân tăng huyết áp thể hiện bằng nồng độ catecholamines cao hơn so với những người có huyết áp bình thường. Ở những bệnh nhân tăng huyết áp nặng, mối liên hệ trực tiếp giữa con số HA với hoạt tính thần kinh giao cảm cũng đã được ghi nhận.

Hình 1: Lược đồ phân bố thần kinh giao cảm thận [3]
Có thể nói, bằng chứng rõ ràng nhất liên quan đến vai trò thần kinh giao cảm trong điều chỉnh huyết áp ở người chính là hiệu quả hạ huyết áp rõ rệt của phẫu thuật cắt bỏ thần kinh giao cảm được thực hiện cách đây nhiều chục năm. Mặc dù chưa từng có một thử nghiệm ngẫu nhiên với đối chứng so sánh hiệu quả của phương pháp với điều trị nội khoa hoặc không can thiệp gì cả nhưng phần lớn các nghiên cứu lúc đó đã cho thấy huyết áp giảm có ý nghĩa. So với điều trị nội khoa, phẫu thuật đã làm giảm mức độ phì đại tim, cải thiện chức năng thận, giảm gánh nặng cơn đau đầu, đau ngực và giảm biến cố tai biến mạch não và cuối cùng là giảm tử vong. Tuy nhiên, phẫu thuật cắt bỏ thần kinh giao cảm có tỉ lệ biến chứng chu phẫu khá cao và có thể dẫn đến nhiều tác dụng không mong muốn trên các bệnh nhân. Thêm vào đó, sự ra đời của nhiều thuốc điều trị hạ huyết áp hiệu quả đã dẫn tới việc ngưng tiến hành phẫu thuật vào đầu những năm 1970.
Gần đây, nhiều phương pháp tiếp cận mới nhằm kiểm soát huyết áp đã được quan tâm nghiên cứu, đặc biệt trên những bệnh nhân tăng huyết áp đã kháng trị với thuốc và thay đổi lối sống. Trong số đó, vai trò của hệ thống thần kinh giao cảm trong cơ chế bệnh sinh của tăng huyết áp đã dành được nhiều sự quan tâm và đặc biệt, kỹ thuật triệt phá thần kinh giao cảm động mạch thận qua đường ống thông (catheter) sử dụng năng lượng sóng có tần số radio (RF) trong điều trị tăng huyết áp đã bắt đầu được thử nghiệm và ứng dụng trên người và đã cho những kết quả ban đầu rất hứa hẹn về tính an toàn và hiệu quả.
Chuyên đề khoa học này sẽ đề cập về hiệu quả hạ huyết áp của phương pháp triệt đốt thần kinh giao cảm động mạch thận qua đường ống thông trên một số nghiên cứu lâm sàng quan trọng đã được thực hiện trên thế giới trong thời gian gần đây, bàn luận về những vấn đề còn tồn tại của phương pháp và đặc biệt là triển vọng ứng dụng kỹ thuật trong thực tiễn lâm sàng tại Việt Nam.
NGHIÊN CỨU SYMPLICITY HTN-1 [4, 5, 6, 7]
Symplicity HTN-1 (catheter-based renal sympathetic denervation for resistant hypertension: a multicentre safety and proof-of-principle cohort study) là nghiên cứu đầu tiên về tính khả thi, tính an toàn và hiệu quả trên người của phương pháp triệt phá thần kinh giao cảm động mạch thận qua đường ống thông. Nghiên cứu được thực hiện trên nhiều trung tâm tại Australia, 45 bệnh nhân tăng huyết áp kháng trị đã được triệt đốt thần kinh giao cảm động mạch thận hai bên bằng năng lượng sóng tần số radio. Quy trình kỹ thuật trong Symplicity HTN-1: Các bệnh nhân sau khi thỏa mãn các tiêu chuẩn lựa chọn của nghiên cứu sẽ được chuẩn bị cho một thủ thuật thăm dò chảy máu và được chụp động mạch thận chọn lọc qua đường động mạch đùi. Sau đó, một ống thông dẫn (guide catheter) đường kính 8 French sẽ được luồn vào lỗ vào động mạch thận, qua đó, ống thông đốt với kích thước nhỏ hơn sẽ được đưa sâu vào trong động mạch thận để tiến hành triệt đốt thần kinh giao cảm từ phía nội mạch. Ống thông đốt với đặc điểm có thể điều khiển gấp duỗi được bởi bác sĩ thủ thuật (steerable) cho phép triệt đốt thành một đường xoắn ốc vòng quanh lòng động mạch thận từng bên. Cũng tương tự như quy trình triệt đốt các rối loạn nhịp tim bằng năng lượng tần số radio, quá trình đốt mạch thận được kiểm soát bởi các thông số nhiệt độ và điện trở nhằm đảm bảo năng lượng đủ để gây tổn thương mô, cắt đứt các đường dẫn truyền thần kinh giao cảm nhưng không tăng nhiệt độ quá cao gây tổn thương nội mạc làm hẹp động mạch thận. Trong Symplicity HTN-1, có 2 biến chứng liên quan đến thủ thuật được ghi nhận: 1 trường hợp lóc tách nội mạc mạch thận do đầu ống thông đốt. Động mạch thận bị lóc tách sau đó đã được đặt Stent; 1 trường hợp giả phình động mạch đùi do chọc mạch.

Hình 2: Hệ thống ống thông đốt và máy phát năng lượng tần số radio Symplicity®, Flex-Catheter

Hình 3: Lược đồ kỹ thuật trong nghiên cứu Symplicity HTN 1-2

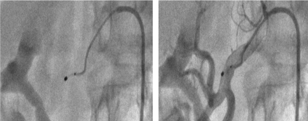
Hình 4 : Hình ảnh X quang của kỹ thuật triệt đốt thần kinh giao cảm động mạch thận trong các nghiên cứu Symplicity với ống thông đốt Symplicity®, Flex-Catheter, Medtronic/Ardian Inc. USA
Có sự giảm đáng kể huyết áp ở các bệnh nhân được ghi nhận qua nghiên cứu Symplicity HTN-1: sau 1 tháng theo dõi, huyết áp tâm thu giảm trung bình 14 mmHg và huyết áp tâm trương giảm trung bình 10 mmHg; sau 12 tháng, kết quả hạ huyết áp không những được duy trì mà còn tốt hơn: giảm được 27 mmHg và 17 mmHg tương ứng với huyết áp tâm thu và huyết áp tâm trương. Trong quá trình theo dõi, 13 bệnh nhân phải điều chỉnh thuốc hạ huyết áp: 9 bệnh nhân giảm được số nhóm thuốc hạ huyết áp cũng như liều thuốc, 4 bệnh nhân phải tăng liều thuốc. Nghiên cứu cũng ghi nhận 13% bệnh nhân không đáp ứng huyết áp tích cực hơn sau thủ thuật. Trên 18 bệnh nhân tiếp tục được theo dõi đến 24 tháng, huyết áp tâm thu giảm được trung bình 33 mmHg, huyết áp tâm trương giảm được trung bình 17 mmHg.

Hình 5: Kết quả chính từ nghiên cứu Symplicity HTN-1: Hiệu quả hạ huyết áp
Nghiên cứu Symplicity HTN-1 có vị trí hết sức quan trọng ở chỗ, lần đầu tiên kỹ thuật triệt đốt thần kinh giao cảm động mạch thận qua đường ống thông được thực hiện trên cơ thể người. Nghiên cứu không chỉ cho thấy tính khả thi và an toàn mà còn chứng minh bước đầu hiệu quả hạ huyết áp rất hứa hẹn. Và vì là nghiên cứu đầu tiên, chủ yếu nhằm đánh giá an toàn và khả thi nên Symplicity HTN-1 còn tồn tại nhiều hạn chế về mặt thiết kế nghiên cứu. Đây không phải là nghiên cứu ngẫu nhiên, có đối chứng và được làm mù thỏa đáng do vậy không thể tránh khỏi những sai số hay thiên lệch, đặc biệt ở khía cạnh đánh giá hiệu quả hạ huyết áp.
NGHIÊN CỨU SYMPLICITY HTN-2 [8]
Trong Symplicity HTN-2 (Renal Sympathetic denervation in Patients with Treatment-Resistant Hypertension Trial), 106 bệnh nhân tăng huyết áp kháng trị đã được ngẫu nhiên phân làm 2 nhóm: một nhóm được triệt đốt động mạch thận trên nền điều trị thuốc hạ huyết áp và một nhóm chỉ điều trị bằng thuốc. Kỹ thuật triệt đốt động mạch thận hoàn toàn giống với quy trình trong Symplicity HTN-1 đã mô tả ở trên. Tiêu chí chính của nghiên cứu là huyết áp tâm thu sau 6 tháng theo dõi. Kết quả cho thấy, có sự giảm huyết áp tâm thu/tâm trương ở nhóm triệt đốt động mạch thận là 32/12 ± 23/11 mmHg so với 0/1 ± 21/10 mmHg ở nhóm chỉ điều trị nội khoa, sự khác biệt trung bình về huyết áp giữa hai nhóm là 33/11 mmHg sau 6 tháng theo dõi. 84% số bệnh nhân ở nhóm triệt đốt có cải thiện huyết áp tâm thu ít nhất 10 mmHg so với tỉ lệ này ở nhóm điều trị nội khoa là 34%. Trên Holter huyết áp 24 giờ, có sự giảm huyết áp trung bình 11/7 ± 15/11 mmHg ở nhóm triệt đốt mạch thận trong khi không có sự khác biệt nào được ghi nhận ở nhóm điều trị nội khoa. Cũng trong Symplicity HTN-2, biến chứng liên quan đến thủ thuật bao gồm 1 bệnh nhân bị tụ máu tại vị trí chọc động mạch đùi đã được xử trí bằng băng ép và không để lại di chứng, 7 bệnh nhân xuất hiện nhịp chậm thoáng qua trong quá trình đốt bằng năng lượng radio phải dùng atropine tiêm tĩnh mạch. Các thông số về chức năng lọc của thận không thay đổi ở cả 2 nhóm nghiên cứu.

Hình 6: Kết quả chính từ nghiên cứu Symplicity HTN-2: Hiệu quả hạ huyết áp ở nhóm triệt đốt thần kinh giao cảm động mạch thận và nhóm chứng nội khoa
So với Symplicity HTN-1, Symplicity HTN-2 đã có nhiều cải tiến về thiết kế nghiên cứu. Đây là nghiên cứu ngẫu nhiên, có đối chứng và do vậy kết quả là đáng tin cậy hơn. Kết quả của Symplicity HTN-2 cũng rất đáng khích lệ và phù hợp với Symplicity HTN-1. Sự giảm huyết áp, đặc biệt huyết áp tâm thu sau thủ thuật 6 tháng vẫn được duy trì tốt và đạt mức xấp xỉ 30 mmHg, có tới 84% bệnh nhân đáp ứng tốt với thủ thuật. Tuy nhiên, Symplicity HTN-2 vẫn còn tồn tại một số hạn chế nhất định như quá trình đánh giá hiệu quả hạ huyết áp ở 2 nhóm nghiên cứu đã không được làm mù. Vì nhiều lý do mà thủ thuật “giả” (sham procedure) đã không được thực hiện và do vậy không thể loại bỏ hoàn toàn tác động của placebo.
Một điểm đáng lưu ý nữa của cả hai nghiên cứu Symplicity 1-2 là thủ thuật triệt đốt thần kinh giao cảm chỉ thực hiện trên các bệnh nhân có động mạch thận với giải phẫu thích hợp với kỹ thuật (thân động mạch thận dài tối thiểu 20 mm và đường kính tối thiểu 4 mm), do vậy chưa có dữ liệu về hiệu quả trên các động mạch thận với đặc điểm giải phẫu không điển hình khác (động mạch thận quá nhỏ, xoắn vặn, có nhiều nhánh chính động mạch thận…).
Ống thông đốt sử dụng trong các nghiên cứu Symplicity (Symplicity®, Flex-Catheter, Medtronic/Ardian Inc. USA) được thiết kế chuyên biệt cho triệt đốt trong lòng động mạch thận nhưng vẫn dựa trên nguyên lý sử dụng năng lượng tần số radio. Ngoài những ưu điểm vốn có vì được thiết kế chuyên biệt, nhược điểm của loại ống thông này là giá thành cao (xấp xỉ 7000 USD) nên khó có khả năng ứng dụng rộng rãi trên các bệnh nhân ở các nước thu nhập thấp trong đó có Việt Nam.
NGHIÊN CỨU TRIỆT ĐỐT MẠCH THẬN SỬ DỤNG CATHETER ĐỐT ĐIỆN CÓ TƯỚI LẠNH (Renal sympathetic denervation using an irrigated radiofrequency ablation catheter for the management of drug-resistant hypertension) [9]
Các nghiên cứu Symplicity HTN-1 và 2 đã chứng minh hiệu quả và tính an toàn của kỹ thuật triệt đốt thần kinh giao cảm động mạch thận trong điều trị tăng huyết áp kháng trị sử dụng ống thông đốt được thiết kế chuyên biệt cho động mạch thận (Symplicity®, Flex-Catheter, Medtronic/Ardian Inc. USA). Ống thông đốt RF trong các cấu trúc tim mạch điều trị các rối loạn nhịp tim bao gồm loại thông thường và loại có tưới lạnh. Nghiên cứu của Humera và cộng sự (tại hai trung tâm tim mạch ở New York và Prague) ở đây là nhằm đánh giá liệu ống thông đốt rối loạn nhịp loại có tưới lạnh (irrigated catheter) có thể sử dụng thay thế các ống thông chuyên biệt để triệt đốt thần kinh giao cảm động mạch thận hay không.
Nghiên cứu thực hiện trên 10 bệnh nhân, tất cả được chụp động mạch thận kiểm tra và sau đó được triệt đốt thần kinh giao cảm động mạch thận 2 bên bằng ống thông điều trị RF có tưới lạnh. Hiệu quả hạ huyết áp được đánh giá bằng phương pháp đo huyết áp liên tục 24 giờ ở các thời điểm trước, sau 1 tháng, 3 và 6 tháng. Tất cả các bệnh nhân đều được chụp lại động mạch thận nhằm kiểm tra xem có tắc hẹp hay phình động mạch thận hay không. Các xét nghiệm thể dịch về chức năng thận cũng được đánh giá trước và sau thủ thuật.
Kết quả cho thấy, sau 6 tháng theo dõi, huyết áp tâm thu/ tâm trương trung bình đã giảm được 21/11 mmHg. Tất cả các bệnh nhân đều giảm được huyết áp tâm thu ít nhất 10 mmHg (dao động từ 10 đến 40 mmHg). Không có trường hợp hẹp hay tổn thương khác ở động mạch thận nào được ghi nhận trên chụp động mạch thận sau thủ thuật. Không có thay đổi bất thường chức năng thận trên xét nghiệm ở các bệnh nhân nghiên cứu.

Hình 7: Kết quả hạ huyết áp sau 1, 3 và 6 tháng trong nghiên cứu của Humera và cộng sự
Kết quả từ nghiên cứu này bước đầu cho thấy, về mặt nguyên tắc, có thể sử dụng các ống thông điều trị RF có tưới lạnh dùng để điều trị rối loạn nhịp triệt đốt an toàn và hiệu quả thần kinh giao cảm động mạch thận trong điều trị tăng huyết áp kháng trị.

Hình 8: Kỹ thuật sử dụng ống thông đốt rối loạn nhịp thường quy triệt đốt thần kinh giao cảm động mạch thận trong nghiên cứu của Humera và cộng sự
Nếu tiếp tục được chứng minh hiệu quả và an toàn trong những nghiên cứu lớn hơn, việc sử dụng ống thông đốt rối loạn nhịp tim để triệt đốt thần kinh giao cảm động mạch thận sẽ giúp cho việc ứng dụng thủ thuật này trở nên dễ dàng và nhanh chóng trở thành thường quy hơn tại nhiều trung tâm tim mạch ở nhiều nước. Khi ở đó, kinh nghiệm sử dụng các ống thông đốt rối loạn nhịp đã sẵn có. Mặt khác, thuận lợi còn thể hiện ở chỗ kỹ thuật đốt động mạch thận sẽ dễ dàng được tích hợp vào các labo thăm dò điện sinh lý tim và đốt điện mà không cần phải bổ sung nhiều thiết bị chuyên dụng.
Tuy nhiên, trong thực tế nước ta, giá thành của ống thông tưới lạnh vẫn còn khá cao (3000-4000 USD) và chưa sẵn có tại nhiều trung tâm tim mạch.
NGHIÊN CỨU VỀ HIỆU QUẢ TRIỆT ĐỐT ĐỘNG MẠCH THẬN TRONG ĐIỀU TRỊ TĂNG HUYẾT ÁP KHÁNG TRỊ SỬ DỤNG ỐNG THÔNG ĐỐT RF THƯỜNG QUY (Catheter-based renal denervation for drug- resistant hypertension by using standard electrophysiology catheter) [10].
Nghiên cứu được thực hiện bởi các tác giả Dirk Prochnau, Hans R. Figulla và Ralf Surber tại trung tâm tim mạch, đại học Jena, Đức. Mục tiêu nghiên cứu cũng là nhằm đánh giá hiệu quả và tính an toàn của triệt đốt thần kinh giao cảm động mạch thận trong điều trị tăng huyết áp kháng trị nhưng ống thông đốt được sử dụng ở đây là ống thông đốt RF điều trị rối loạn nhịp tim thường quy không có tưới lạnh (conventional RF ablation catheter) với chi phí thấp hơn và sự sẵn có ở gần như tất cả các trung tâm tim mạch. Phương pháp đánh giá là đo huyết áp liên tục 24 giờ nhiều lần trong 12 tháng theo dõi.
30 bệnh nhân tăng huyết áp kháng trị (với số thuốc hạ áp trung bình đang sử dụng là 6) đã được chọn vào nghiên cứu. Trước thủ thuật, các bệnh nhân được đánh giá lâm sàng toàn diện và đo huyết áp liên tục trong 24 giờ cũng như các xét nghiệm về chức năng thận. Các bệnh nhân được chụp động mạch thận kiểm tra, những trường hợp có hẹp động mạch thận > 50% sẽ không tiếp tục tiến hành thủ thuật và loại ra khỏi nghiên cứu. Ống thông đốt được đưa vào động mạch thận qua đường động mạch đùi phải, triệt đốt được thực hiện lần lượt từ bên, mỗi động mạch thận sẽ được triệt đốt 6-8 điểm dọc theo chiều dài, thời gian đốt mỗi điểm là 60 giây, cường độ năng lượng sử dụng bắt đầu rất thấp và tăng dần lên tới 8-13 W, quá trình đốt được theo dõi chặt chẽ bằng các thông số nhiệt độ và trở kháng mô. Heparin TM được sử dụng nhằm duy trì ACT từ 250 đến 300 giây. Một số bệnh nhân xuất hiện cảm giác đau bụng khi đốt điện được sử dụng các thuốc giảm đau ngay trong thủ thuật. Sau khi các điểm triệt đốt đã hoàn tất, các tác giả tiến hành chụp kiểm tra lại động mạch thận 2 bên nhằm đánh giá các tổn thương mới xuất hiện.
Kết quả nghiên cứu từ nhóm Jena cho thấy, sau 1 tháng, trên đo huyết áp liên tục 24 giờ, huyết áp tâm thu giảm trung bình 15,5 mmHg và huyết áp tâm trương giảm trung bình 3,4 mmHg, sự khác biệt có ý nghĩa thống kê với p 
Hình 9: Kết quả chính từ nghiên cứu của nhóm Jena: Hiệu quả hạ huyết áp sau 1, 3, 6 và 12 tháng tiến hành thủ thuật
Về khía cạnh an toàn, không thấy biến chứng đáng kể nào được ghi nhận trong quá trình theo dõi sau thủ thuật.
Từ khi được công bố trên EuroIntervention vào đầu năm 2012, bài báo của Dirk Prochnau và cộng sự tại Bệnh viện Đại học tổng hợp Jena (Đức) đã thu hút nhiều sự quan tâm vì đây là lần đầu tiên ống thông đốt điện thường quy điều trị rối loạn nhịp được sử dụng để triệt đốt thần kinh giao cảm động mạch thận nhằm điều trị tăng huyết áp kháng trị. Kết quả nghiên cứu của nhóm Jena cho thấy, kết quả hạ huyết áp là gần như tương đương so với việc sử dụng ống thông chuyên dụng Symplicity hay ống thông đốt rối loạn nhịp có tưới lạnh. Ưu điểm rõ ràng của phương pháp này là chi phí điều trị thấp và khả năng ứng dụng rất cao vì các thiết bị cần thiết cho thủ thuật đã dường như sẵn có đầy đủ trong các phòng can thiệp mạch và can thiệp điện sinh lý tim thông thường.
Cụ thể trong hoàn cảnh Việt Nam, các phòng tim mạch can thiệp tại Viện Tim mạch Quốc Gia cũng như tại các trung tâm tim mạch lớn ở miền Trung và miền Nam dường như đã có đủ trang thiết bị, nhân lực và kinh nghiệm cần thiết để có thể bước đầu ứng dụng và thường quy thủ thuật triệt đốt thần kinh giao cảm động mạch thận trong tương lai gần.
|