|
1.ĐẶT VẤN ĐỀ
Bệnh lý mạch máu tại Việt Nam nói chung và miền Bắc nói riêng trong những năm gần đây diễn biến theo xu hướng tăng dần về số lượng bệnh nhân cũng như mức độ phức tạp của bệnh. Nguyên nhân là tuổi thọ trung bình tăng cũng như thay đổi chế độ dinh dưỡng của bệnh nhân dẫn tới tỷ lệ bệnh mạch máu ngày càng tăng. Các bệnh mạch máu phức tạp xuất hiện đang là thách thức với các bác sĩ lâm sàng cả về ngoại khoa cũng như can thiệp tim mạch. Với những bệnh nhân có bệnh mạch máu phức tạp, tuổi cao, nhiều vị trí tổn thương, việc áp dụng các phương pháp kinh điển như phẫu thuật đơn thuần hoặc can thiệp đơn thuần sẽ không mang lại hiệu quả tốt do phẫu thuật tại nhiều vị trí cùng một lúc trên bệnh nhân già yếu sẽ ảnh hưởng nặng nề đến sức khỏe bệnh nhân, việc can thiệp mạch máu trên nhiều vị trí cùng một lúc không phải lúc nào cũng thực hiện được, mặt khác là gánh nặng kinh tế lớn cho bệnh nhân và bảo hiểm y tế. Xu hướng trên thế giới hiện nay là áp dụng phối hợp phẫu thuật và can thiệp trên một bệnh nhân trong một thì (hybrid) nhằm làm giảm độ khó của phẫu thuật/ can thiệp, giảm chi phí y tế và giảm tác động có hại trên sức khỏe bệnh nhân. Tại bệnh viện Hữu nghị Việt Đức, với sự giúp đỡ của các chuyên gia nước ngoài cũng như kíp can thiệp mạch máu, chúng tôi đã áp dụng Hybrid phẫu thuật, can thiệp trong cùng một thì trên các bệnh nhân có bệnh lý mạch máu khó điều trị nếu chỉ sử dụng phẫu thuật hoặc can thiệp đơn thuần với kết quả ban đầu tương đối khả quan. Nghiên cứu này đánh giá kết quả của áp dụng hybrid trong điều trị bệnh mạch máu nhằm rút ra kết luận về chỉ định, lựa chọn bệnh nhân, ưu nhược điểm, kết quả, khả năng ứng dụng và phát triển.
2.ĐỐI TƯỢNG VÀ PHƯƠNG PHÁP
Bệnh mạch máu phức tạp bao gồm tổn thương mạch máu tại các vị trí mạch quan trọng và khó điều trị (Ví dụ quai động mạch chủ, ĐM chủ ngực đoạn xuống) hoặc tổn thương mạch máu nhiều vị trí trên cùng một bệnh nhân.
Nghiên cứu hồi cứu dựa trên hồ sơ của tất cả BN mạch máu đã áp dụng phối hợp phẫu thuật- can thiệp nội mạch tại BV Việt Đức từ 1/2011 tới 11/2013. Các phẫu thuật-thủ thuật được thực hiện tại phòng mổ hoặc tại phòng can thiệp mạch – khoa điện quang BV Việt Đức, với sự tham gia của phẫu thuật viên mạch máu, chuyên gia Pháp, bác sĩ can thiệp bệnh viện Việt Đức và Bệnh viện Đại học Y Hà Nội. Can thiệp nội mạch có thể được thực hiện trước, sau hoặc đồng thời với can thiệp phẫu thuật. Bệnh lý mạch ở các vị trí khác nhau: Quai ĐM chủ, ĐM chủ bụng, ĐM chậu chung, chậu ngoài, ĐM chi dưới. Loại trừ bệnh mạch máu tại tim, phổi, chấn thương, vết thương mạch máu, tai biến do thầy thuốc. Các thăm dò trước mổ gồm lâm sàng, sinh hóa, chức năng gan thận, đông máu, điện tim, siêu âm tim, siêu âm doppler mạch, chụp cắt lớp vi tính, chụp ĐM, MRI. Tiền sử bệnh phối hợp và yếu tố nguy cơ (hút thuốc lá, thuốc lào, đái tháo đường, tăng huyết áp, mỡ máu), tiền sử phẫu thuật được ghi nhận chi tiết. Chỉ định can thiệp phẫu thuật hay nội mạch theo hướng dẫn của Châu Âu và Mỹ. Diễn biến trong quá trình phẫu thuật/thủ thuật, kết quả, biến chứng được thống kê, phân tích, so sánh từ đó đưa ra các nhận xét về chỉ định và kết quả của hybrid, đề xuất ý kiến thích hợp.
3.KẾT QUẢ
Trong thời gian từ tháng 1/2011 tới tháng 11/2013, có 11 bệnh nhân có bệnh mạch máu phức tạp hội đủ các chỉ tiêu nghiên cứu được phân bố như sau: nam 11 (tỷ lệ 100%); tuổi thấp nhất 64, cao nhất 79, trung bình 70,6 tuổi. Chúng tôi chia các bệnh nhân làm hai nhóm: nhóm I gồm các BN có bệnh lý của quai ĐM chủ và ĐM chủ xuống; nhóm II gồm các BN có tổn thương nhiều tầng của mạch máu chủ bụng, chậu, đùi chung, đùi nông và khoeo trong bệnh lý mạch máu ngoại biên.
Bảng 1: Phân bố bệnh nhân có tổn thương quai ĐMC và ĐMC ngực (n=3)
TT |
Giới
|
Chỉ định
|
Thương tổn
|
Can thiệp hybrid
|
|
1
|
Nam 79t
|
Đau ngực |
Phình hình túi của quai ĐMC |
Phẫu thuật bắc cầu ĐM cảnh chung P-T; đặt Stentgraft quai ĐMC và ĐMC xuống (bít nguyên ủy của ĐM cảnh chung T) |
|
2
|
Nam 73t*
|
Đau ngực |
Phình hình túi của quai ĐMC |
Phẫu thuật bắc cầu ĐM chủ lên vào ĐM cảnh hai bên; đặt stentgraft quai ĐMC và ĐMC xuống (bít nguyên ủy của ĐM dưới đòn T) |
|
3
|
Nam 72t
|
Đau ngực |
Lóc ĐMC xuống type B (Stanford) vỡ vào khoang màng phổi trái |
Phẫu thuật bắc cầu ĐM cảnh chung P-T; Can thiệp đặt Stentgraft quai ĐMC và ĐMC xuống (bít nguyên ủy của ĐM cảnh chung T) |
Bảng 2: Phân bố bệnh nhân có bệnh lý mạch máu ngoại biên (n=8)
TT |
Giới
|
Chỉ định
|
Thương tổn
|
Can thiệp hybrid
|
|
4
|
Nam 69t
|
Thiếu máu g/đ III chân T/ Đã mổ bắc cầu đùi khoeo T bằng mạch nhân tạo |
Hẹp miệng nối đầu trên và đầu dưới của cầu nối đùi khoeo |
Phẫu thuật làm lại miệng nối đầu gần; nong miệng nối đầu xa |
|
5
|
Nam 64t
|
Thiếu máu g/đ IV 2 chân |
Hẹp tắc ĐM chậu chung, chậu ngoài P, Hẹp ĐM chậu ngoài T, tắc ĐM đùi nông T |
Nong ĐM chậu ngoài T, phẫu thuật bắc cầu đùi-đùi T-P (mạch nhân tạo) |
|
6
|
Nam 65t
|
Thiếu máu cấp tính chân P/ Đã mổ bắc cầu đùi khoeo P |
Huyết khối gây tắc mạch nhân tạo ; Hẹp miệng nối đầu xa |
Phẫu thuật mở mạch nhân tạo lấy huyết khối; nong miệng nối đầu xa |
|
7
|
Nam 67t
|
Đau bụng/ BN đã mổ bụng 4 lần do viêm phúc mạc RT và dính ruột |
Phồng ĐM chủ bụng dưới thận – chậu gốc bên P (ĐM chậu gốc P phồng 3cm) |
Đặt stentgraft cho ĐM chủ chậu P (Unilateral) ; Phẫu thuật bắc cầu đùi-đùi P-T (mạch nhân tạo) |
|
8
|
Nam 73t
|
Thiếu máu g/đ III chân T, g/đ II chân P |
Hẹp tắc ĐM chậu ngoài, tắc ngã ba đùi chung 2 bên |
Nong và stent Đm chậu ngoài bên T, nong ĐM đùi nông phía dưới thương tổn; Phẫu thuật bóc nội mạc tạo hình ngã ba ĐM đùi T |
|
9
|
Nam 64t
|
Thiếu máu g/đ II chân P/ Đã bắc cầu đùi khoeo 2 bên |
Huyết khối gây tắc mạch nhân tạo đùi khoeo bên P, hẹp ĐM chày sau, tắc ĐM chày trước và ĐM mác |
Phẫu thuật mở mạch nhân tạo lấy huyết khối ; can thiệp nong mạch ngoại vi bằng bóng |
|
10
|
Nam 74t
|
Thiếu máu g/đ IV chân T, g/đ II chân P |
Hẹp ĐM chậu gốc P, tắc ĐM chậu chung và chậu ngoài T, tắc ĐM đùi nông P, hẹp ĐM đùi nông T |
Nong và stent ĐM chậu gốc P, Phẫu thuật bóc nội mạc ĐM đùi chung trái và bắc cầu đùi đùi P-T (mạch nhân tạo). Nong ĐM đùi nông T |
|
11
|
Nam 76t**
|
Thiếu máu giai đoạn III hai chân |
Tắc ĐM chậu gốc P, hẹp ĐM chậu gốc T, tắc Đm đùi nông hai bên |
Can thiệp nong và đặt stent ĐM chậu gốc T, phẫu thuật bắc cầu đùi đùi trái – phải |
Bảng 3 : Kết quả của hybrid (N=11 BN)
Tổn thương |
Cải thiện triệu chứng
|
Tử vong
|
Thất bại/biến chứng
|
Tỷ lệ
thành công %
|
| Quai ĐMC (n=3) |
2/3
|
1/3
|
1/3*
|
67
|
| ĐM chủ chậu(n=1) |
1/1
|
0/1
|
0/1
|
100
|
| Cầu nối đùi khoeo (n=3) |
3/3
|
0/3
|
0/3
|
100
|
| ĐM chậu đùi(n=4) |
4/4
|
0/4
|
1/4**
|
75
|
* Bệnh nhân can thiệp số 2 trong nhóm can thiệp vào quai ĐMC sau hybrid có biến chứng nhồi máu cơ tim phải đặt stent mạch vành, điều trị sau đó suy tim, viêm phổi nặng, nhiễm trùng huyết và tử vong trong bệnh cảnh suy đa tạng, không có biến chứng trong quá trình làm hybrid, kiểm tra sau hybrid không có tai biến về kỹ thuật như chảy máu, di lệch stentgraft, rò.
** Bệnh nhân can thiệp số 11 sau hybrid 8 ngày xuất hiện đau lại 2 chân, siêu âm và chụp kiểm tra có tắc ĐM chậu gốc phải trên vị trí đặt stent, đã được xử lý
bằng bắc cầu nách đùi trái với kết quả tốt.
4.BÀN LUẬN
4.1.Lịch sử phát triển can thiệp nội mạch và Hybrid phẫu thuật – can thiệp
Năm 1964, Charles Theodore Dotter và cộng sự là người đầu tiên tiến hành nong động mạch đùi nông bằng bóng trên một bệnh nhân nữ 82 tuổi thiếu máu giai đoạn IV chân do tắc ĐM đùi nông với kết quả rất tốt, ông cũng là người đưa ra những khái niệm đầu tiên về dụng cụ can thiệp như bóng nong ĐM (Balloon catheter), guidewire, giá đỡ trong lòng mạch (stent). Ông được coi là cha đẻ của ngành can thiệp[4]. Năm 1973, Porter JM báo cáo trường hợp lâm sàng đầu tiên phối hợp giữa phẫu thuật (bắc cầu đùi khoeo) và can thiệp (nong ĐM bằng bóng) với kết quả lâm sàng không kém gì phẫu thuật[5]. Những nghiên cứu về sau cho những tổn thương mạch máu nhiều tầng đều cho thấy việc phối hợp giữa phẫu thuật và can thiệp mang lại lợi ích to lớn về hậu phẫu cho bệnh nhân so với phẫu thuật đơn thuần[1][2]. Năm 1977 Andreas Gruntzig đã sáng chế ống thông có bóng đủ chắc để lần đầu tiên trên thế giới thực hiện nong mạch vành, và 7 năm sau giá đỡ lòng mạch (stent) cho mạch vành ra đời. Carlos Parodi (Buenos Aires) năm 1990 lần đầu tiên đặt mạch nhân tạo ĐMC bụng thành công [8]. Từ đó đến nay can thiệp nội mạch máu cũng như phối hợp phẫu thuật và can thiệp mạch đã phát triển hết sức mạnh mẽ trong cả lĩnh vực mạch máu ngoại vi, mạch máu lớn, mạch tạng và tim (mạch vành). Tuy nhiên để có thể triển khai được kỹ thuật này đòi hỏi nhiều yếu tố: trang thiết bị (máy chụp mạch đủ tốt), vật tư tiêu hao (dây dẫn, bóng nong, stent, thuốc cản quang…), phòng mổ hay phòng chụp mạch đủ lớn, và đặc biệt là phải có bác sĩ được đào tạo bài bản. Những người có thể thực hiện can thiệp nội mạch là phẫu thuật viên mạch máu, bác sĩ nội tim mạch can thiệp và bác sĩ điện quang. Tuy nhiên theo xu hướng chung trên thế giới, với các thương tổn khó đòi hỏi can thiệp phức tạp, phối hợp phẫu thuật và can thiệp thì tỷ lệ phẫu thuật viên mạch máu tham gia can thiệp càng ngày càng chiếm vai trò chủ đạo[1][3].
Tại Việt Nam, Bệnh viện Việt Đức từ những năm 1980 cũng đã bắt đầu áp dụng kỹ thuật chụp mạch và thực hiện một số can thiệp mạch thô sơ, nhỏ lẻ, không hệ thống (nút mạch phế quản, thủ thuật Brook điều trị thông ĐM-TM cảnh xoang hang). Mãi tới năm 2008, bệnh viện mới trang bị được máy chụp mạch tại khoa điện quang, và năm 2009 máy C-arm tại phòng mổ (không dành cho mạch máu). Tới năm 2011, với sự hỗ trợ về kinh nghiệm cũng như trang thiết bị của chuyên gia Pháp (AIPCV-ADVASE), chúng tôi đã thực hiện nhiều can thiệp nội mạch cho bệnh lý mạch máu. Đặc biệt từ cuối năm 2012, với việc đưa vào sử dụng đơn vị can thiệp – phẫu thuật tim mạch, chúng tôi đã có thể tiến hành các trường hợp hybrid phẫu thuật – can thiệp tại nhiều vị trí, cho các thương tổn phức tạp hơn. Theo Nguyễn Duy Thắng[9], việc áp dụng hybrid ban đầu trên bệnh nhân tại đây có kết quả tốt, không có tử vong và các biến chứng có thể kiểm soát được.
4.2.Đặc điểm bệnh nhân và chỉ định can thiệp hybrid
Bệnh nhân đều là nam giới, 75% bệnh nhân có tiền sử hút thuốc lá, thuốc lào.
Rõ ràng hút thuốc là một yếu tố nguy cơ cao trong bệnh lý mạch máu nói chung và gắn liền với giới nam. Tuổi trung bình của bệnh nhân là 70,6 tương ứng với tuổi mắc bệnh mạch máu tại châu Âu (62-73 tuổi) [3]. Tuổi trung bình trong nghiên cứu của chúng tôi cao hơn trong nghiên cứu về bệnh mạch chi dưới của Đoàn Quốc Hưng năm 2006[7] có lẽ do chất lượng cuộc sống, tuổi thọ trung bình của bệnh nhân tại Việt Nam được cải thiện và bệnh nhân có điều kiện hơn để tiến hành phẫu thuật-can thiệp so với giai đoạn trước đây.
Chỉ định hybrid cho các bệnh nhân đều là các tổn thương nặng và phức tạp, khó hoặc không thể xử lý bằng can thiệp hoặc phẫu thuật đơn thuần. Với tổn thương của quai ĐMC (bảng 1) rõ ràng phẫu thuật thay quai ĐMC đơn thuần là một trong những sang chấn hết sức nặng nề cho bệnh nhân với nguy cơ tử vong cao. Với bệnh nhân tổn thương ĐM chủ – chậu đặc biệt nếu bệnh nhân có tiền sử mổ cũ, việc phẫu thuật vào bụng là một sang chấn nặng và tốn kém thời gian. Với tổn thương mổ cũ của mạch chi dưới, việc phối hợp phẫu thuật và can thiệp cho phép tiến hành đồng thời cả chẩn đoán thương tổn cũng như xử lý thương tổn trên nhiều vị trí mà không cần can thiệp nhiều vào các vị trí mổ cũ hoặc trên nhiều vị trí.
Có thể chỉ định hybrid cho nhiều loại tổn thương mạch máu khác nhau, áp dụng cho bệnh nhân có kế hoạch hoặc cấp cứu. Tổn thương mạch có thể là thương tổn hẹp, phồng mạch, lóc cũng như tắc mạch do huyết khối. Vị trí mạch bị tổn thương có thể áp dụng hết sức đa dạng cho ĐM chủ, ĐM chậu, ĐM chi dưới và cả cầu nối mạch nhân tạo (bảng 1,2).
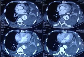
Ảnh: Hybrid trên quai ĐMC và tổn thương nhiều tầng của mạch máu:


Bắc cầu ĐM cảnh-cảnh P-T (BN 1) và đặt stentgraft quai ĐMC
Lóc tách type B vỡ vào khoang màng phổi T


[Type a quote from the document or the summary of an interesting point. You can position the text box anywhere in the document. Use the Drawing Tools tab to change the formatting of the pull quote text box.]
Ảnh: BN 5 với tắc ĐM chậu P, hẹp ĐM chậu T
Các thăm dò cận lâm sàng được áp dụng trong nghiên cứu chúng tôi là siêu âm doppler, chụp mạch và MSCT (thăm dò ít xâm lấn, rất tốt với các mạch kích thước lớn và vừa). Phối hợp với các thăm khám lâm sàng kĩ lưỡng và toàn diện sẽ cho phép chúng ta chẩn đoán và xử trí kịp thời các biến chứng.
4.3.Ưu điểm và nhược điểm của hybrid phẫu thuật và can thiệp
Hybrid có thể áp dụng được cho nhiều vị trí tổn thương một lúc, trong nghiên cứu của chúng tôi bệnh nhân bị tổn thương từ mạch lớn (quai ĐMC) cho tới các mạch máu ngoại vi (ĐM chày trước, chày sau) với nhiều tầng tổn thương trên cùng một bệnh nhân. Có những tổn thương không thể phẫu thuật như tổn thương lóc tách đã vỡ của ĐMC. Can thiệp hybrid cho phép chúng tôi xử lý các thương tổn một cách triệt để trong một thì. Các nghiên cứu trên thế giới cũng chứng minh vai trò và ưu điểm tuyệt đối của hybrid so sánh với phẫu thuật hoặc can thiệp đơn thuần với các tổn thương nhiều tầng[1],[2],[6].
Hybrid phối hợp được ưu điểm của phẫu thuật và can thiệp nội mạch. Phẫu thuật cho phép chúng tôi bộ lộ rõ thương tổn, tiếp cận và xử trí những mạch máu mà can thiệp rất khó khăn (như ĐM đùi chung bị tắc hoàn toàn, huyết khối gây tắc trong lòng mạch…). Bên cạnh đó, việc can thiệp nội mạch cho phép chúng tôi xử lý những thương tổn của mạch máu lớn (quai ĐMC) và các vị trí khó, xa (ĐM chày trước, chày sau, miệng nối mạch máu cũ) với những kỹ thuật tiên tiến (nong mạch bằng bóng, đặt stentgraft) một cách nhanh chóng, hiệu quả và an toàn. Việc phối hợp các ưu điểm trên đã cho phép chúng tôi xử lý được các thương tổn khó, phức tạp đôi khi không thể thực hiện được nếu phẫu thuật hoặc can thiệp đơn thuần. Nhiều nghiên cứu đã chứng minh hiệu quả phục hồi lưu thông mạch máu của hybrid không khác gì phẫu thuật nhưng có tỷ lệ biến chứng thấp hơn, giảm thời gian hồi sức và nằm viện cho bệnh nhân [2], [3]. Việc tránh được các biến chứng do mở ngực, mở xương ức, gây mê, chạy máy tim phổi là ưu thế lớn của can thiệp.
Bên cạnh những lợi ích của nó, việc áp dụng Hybrid phẫu thuật-can thiệp cũng có những nhược điểm. Có hai bệnh nhân của chúng tôi gặp biến chứng, một bệnh nhân tử vong. Như vậy với việc áp dụng Hybrid bệnh nhân có thể gặp đầy đủ các biến chứng của quá trình can thiệp nội mạch hoặc phẫu thuật gây ra.
Việc bệnh nhân và nhân viên y tế cùng tiếp xúc với phóng xạ tia X có nguy cơ mắc các bệnh lý da do phóng xạ, đục thủy tinh thể cao hơn nhiều lần đã được chứng minh với nhiều bằng chứng khoa học[1]. Bên cạnh đó với chi phí cao của can thiệp mạch máu, việc bảo hiểm y tế chưa chi trả cho toàn bộ quá trình điều trị, việc áp dụng Hybrid rõ ràng là một gánh nặng kinh tế cho bệnh nhân và gia đình bệnh nhân.
Một hạn chế không nhỏ của việc áp dụng Hybrid tại bệnh viện hữu nghị Việt Đức là trang thiết bị, vật tư cho can thiệp-phẫu thuật còn chưa đầy đủ, nhân lực của chúng tôi chưa có nhiều kinh nghiệm trong việc áp dụng các kỹ thuật mới, tiên tiến của can thiệp nội mạch cho bệnh nhân. Việc bổ sung vật tư thiết bị cũng như không ngừng trau dồi chuyên môn, học tập kỹ thuật mới và mở rộng hợp tác sẽ giúp chúng tôi có nhiều điều kiện, kinh nghiệm hơn trong điều trị cho bệnh nhân.
5.KẾT LUẬN
Tuy mới bắt đầu được triển khai nhưng với những ưu điểm nổi trội và kết quả sớm rất tốt, phối hợp phẫu thuật và can thiệp nội mạch (hybrid) là một hướng đi đúng đắn cần được nghiên cứu mở rộng cho các bệnh lý mạch máu phức tạp. Tuy còn nhiều khó khăn như trang thiết bị còn thiếu, chi phí y tế còn cao và năng lực con người còn hạn chế. Việc lựa chọn bệnh nhân phù hợp, đào tạo nhân lực chuyên sâu, thực hành thường xuyên, trang bị đầy đủ, cải thiện chế độ bảo hiểm xã hội sẽ giúp phương pháp điều trị này cho kết quả ngày một tốt hơn tại Việt Nam.
|